Magenfundus
Gesamtliste » Verdauungssystem » Präparat 120

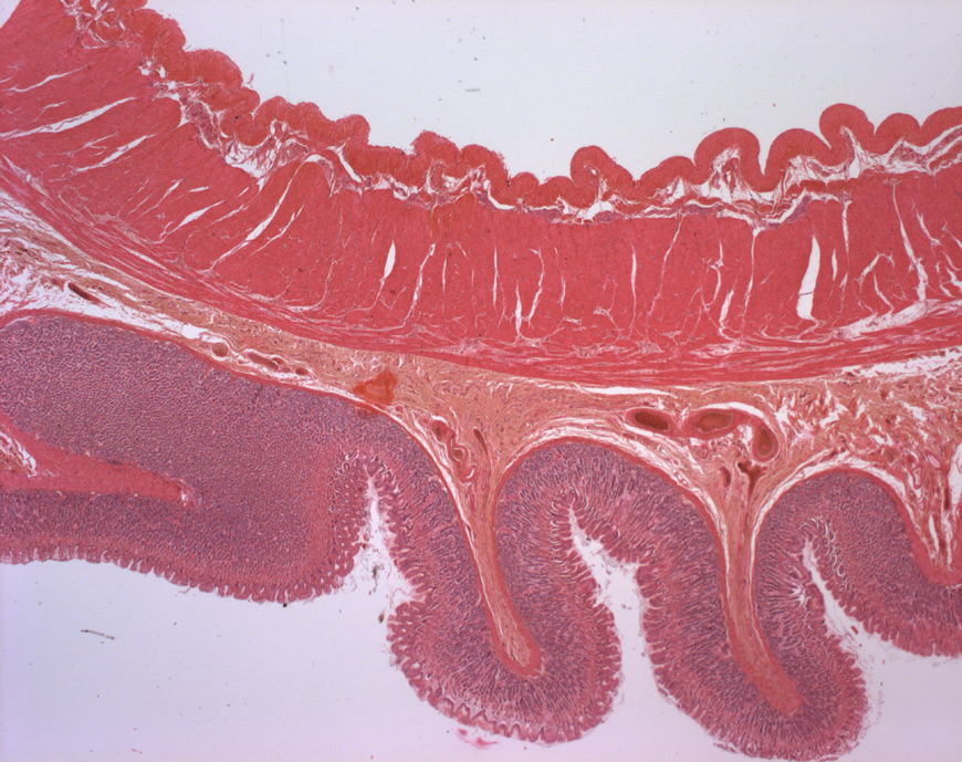
Der Magen besitzt den üblichen Aufbau aus Tunica mucosa, Tela submucosa und Tunica muscularis.
Charakteristisch für den Magenfundus/-Corpus findet sich hier in der Tunica Muscularis eine dritte innerste Muskelschicht, die Fibrae obliquae (scherengitterartig angeordnet)
Es wölben sich Plicae gastricae ins Magenlumen hinein, welche aus Tunica mucosa und Tela submucosa bestehen.
Diese Plicae wiederum besitzen selbst Einstülpungen, die Foveolae gastricae.
Man kann im Magen 5 Zelltypen unterscheiden:
- die Epithelzellen: Sie produzieren Schleim MUC5AC
- die Hauptzellen: Sie produzieren Pepsinogen. Dafür brauchen sie viel ER und sind deswegen so gut anfärbbar (basophil). Pepsinogen wird durch die Magensäure zum aktiven Pepsin umgewandelt
- die Nebenzellen: Sie produzieren ebenfalls Schleim allerdings MUC6. Der so entstehende 2 schichtige Schleimfilm sorgt dafür das die Magensäure den Magen selbst nicht auflöst. Sie sind nur schwach anfärbbar.
- die Beleg-/Parietalzellen: Sie produzieren die Salzsäure indem sie H Ionen in das Lumen der Zelle schleusen. Dafür nehmen sie in K Ion auf. Dem H Ion folgt automatisch ein CL- Ion. Außerdem produzieren die Zellen noch den sog. "intrinsic - factor". Er sorgt für die Vitamin B12 resorption im Ileum.
- ECL-Zellen: Produzieren Histamin für Säurestimulation.
Weitere Ansichten
noch kein Text vorhanden
Die Tunica muscularis ist hier dreischichtig.
Neben der äußeren Längs- und der inneren Ringmuskulatur gibt es hier noch zusätzlich eine innerste Schicht, die Fibrae obliquae.
Zwischen Stratum circulare und Stratum longitudinale befindet sich der Auerbach-Plexus (oder Plexus myentericus).
In der Bildmitte: Tela submucosa.
Nach unten schließen sich an: Lamina muscularis mucosae, Lamina propria mucosae und Lamina epithelialis mucosae.
Nach oben die Tunica muscularis mit der innersten Schicht, den Fibrae obliquae.
noch kein Text vorhanden
Die Foveolae gastricae reichen als Glandulae gastricae fast bis zur Submucosa.
Am Drüsengrund sind vor allem Hauptzellen (Pepsinogenproduzenten), am Drüsenhals Nebenzellen (Muzin) und überall verteilt Belegzellen (Salzsäure und Instrinsic-Factor).
noch kein Text vorhanden
hier sieht man schön das einschichtige Zylinderepithel (Oberflächenepithel des Magens)
Das Magenepithel produziert MUC5AC, die Nebenzellen MUC6.
Oberflächenepithel und Nebenzellen bilden zusammen der Schleimteppich. Die Muzinsekretion wir v.a. von Prostaglandin E2 stimuliert. HCO3- gelangt aus der basalen Membran der Parietalzellen in das Blut und dann zum Oberflächenepithel, es wird in die Schleimschicht sezerniert und puffert die Protonen aus der Magensäure ab -> Schutz des Oberflächenepithels.
Hier sind gut die verschiedenen Zelltypen zu erkennen:
Hauptzellen - basophil, im Drüsengrund mit viel rauem ER, Produktion von Pepsinogen, in apikalen Sekretgranula gespeichert
Nebenzellen - im Halsbereich der Magendrüsen - Produktion von Muzine
Belegzellen(Parietalzellen) - groß, pyramidenförmig, dreieckig, lassen sich durch hohe Anzahl an Mitochondrien leicht mit sauren Farbstoffen rot anfärben - Produktion von Salzsaäure und Intrinsic Factor.
noch kein Text vorhanden
noch kein Text vorhanden
quer angeschnittene Foveolae
Parietalzellen und Hauptzellen färben sich unterschiedlich an. Parietalzellen sind azidophil (eosinophil), da sie viele Mitochondrien enthalten. Das ist wichtig um die H /K - ATPase betreiben zu können. Hauptzellen sind basophil, da sie zur Pepsinogensynthese viel rER enthalten.